文/鄭冉曦
審定/游智欽 臺北慈濟醫院泌尿科主治醫師


左圖:陳女士與先生至泌尿科游智欽醫師門診進行腎移植手術的評估。攝影/盧義泓
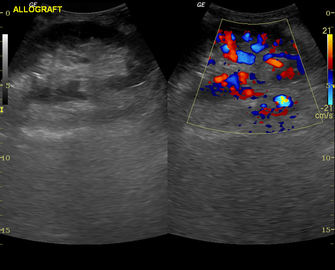
右圖:術後超音波顯示陳女士移植腎血流狀況良好。圖片提供/臺北慈濟醫院
六十八歲的陳女士有高血壓病史,八年前因血壓過高導致眼皮不停跳動,至臺北慈濟醫院急診就醫,這才被告知其腎臟功能僅剩下百分之二十,因此便在腎臟透析中心郭克林主任門診進行慢性腎臟病的追蹤治療,平安過了六年,之後卻發現她的肌酸酐(Cr)指標過高且降不下來,維持在6 ㎎ /dL(毫克/分升)( 正常值:男性0.7 ∼ 1.5mg/dL;女性6 ∼ 1.3mg/dL),隔四個月更上升到8 mg/dL,換算腎絲球過濾率(GFR) ( 正常值100 ∼ 120ml/min/1.73 ㎡ ), 已達腎臟病末期。
陳女士及家屬與郭克林主任商議後決定採取親屬捐贈的腎臟移植手術,經過郭主任轉介,便在先生的陪同下,到泌尿科游智欽醫師門診尋求移植評估。
前置性腎臟移植
比透析後移植的預後更好
「患者在腎功能惡化到必須接受透析前腎臟移植,能降低排斥風險改善存活率,減少因透析帶來的生活不便與營養不良,更重要的是,『前置性腎臟移植』比透析後才移植的預後更佳。」游醫師分析「前置性腎臟移植」的益處,這讓陳女士與先生都更加希望能夠進行移植配對。
陳女士的先生比她大四歲,七十二歲,且有高血壓的慢性疾病,經評估,腎功能已有些退化,無法捐贈。但陳女士的手足與遠在美國的姪子都積極表達捐贈意願,因此由陳女士的妹妹先接受評估。姊妹倆血型相同,且妹妹兩個腎臟功能都維持良好,適合捐贈。在得知匹配符合後,所有人都萬分高興,但陳女士心中還是隱隱擔憂:「萬一妹妹移植給我後,出了什麼狀況怎麼辦?萬一出現排斥現象或免疫力變低怎麼辦?」但還是在妹妹表達堅定的捐贈意願,及醫師的中肯分析後,同意接受移植。
前置性腎臟移植,先由泌尿科醫師執行腹腔鏡腎臟捐贈手術,再由游智欽醫師執行腎臟移植手術。術後陳女士恢復相當順遂,當天便排出尿液一萬c.c.,第二天轉出加護病房,肌酸酐降至1.2mg/dL,經免疫藥物調整,一個星期後順利出院。陳女士也放下心中憂慮感恩道:「因為有醫護人員的仔細衛教,讓我更有信心回歸未來生活!」
而陳女士的妹妹歷經四小時的捐贈手術,在院觀察三天後也平安出院。

末期腎病的治療選擇
慢性腎臟病共分五期,以「腎絲球過濾率GFR」為基準,分為第一期:腎功能正常但有腎臟實質傷害;第二期:輕度慢性腎功能障礙且有腎臟實質傷害;第三期:中度慢性腎功能障礙;第四期:重度慢性腎衰竭;第五期:末期腎臟病變。前兩期腎功能仍有正常的六成以上,建議積極接受治療,可望恢復正常。第三、四期腎功能僅剩正常功能的百分之十五到五十九,需密切配合診療與飲食控制。若至末期腎臟病,便須進入透析治療或腎臟移植評估。
末期腎臟病欲進入腎臟移植的選擇分為兩種,一為屍體捐贈,二為活體捐贈。屍體捐贈規定病人須經過血液透析半年後才可進入器官捐贈移植登錄中心排序。活體捐贈則依臺灣器官作業準則,捐贈者須為患者的五等血親或配偶,經由醫師評估捐贈者的身體狀況,衡量捐贈後其單顆腎臟能否維持身體健康運作後決定能否通過。而受贈者經兩次以上( 相隔一個月) 的檢查,肌酸酐濃度仍大於6mg/dL 或腎絲球過濾率小於15ml/min/1.73 ㎡,兩項資格皆符合才能進行移植作業。

臺北慈濟醫院泌尿科游智欽醫師執行活體腎臟移植手術。攝影/盧義泓
泌尿科與一般外科醫師
攜手完成腎臟移植手術
一位腎臟移植醫師的養成有著嚴謹的規範,需要在腎移植手術中擔任第一助手,至少經歷二十例手術,術後照護同樣需要二十例的經驗,學習積累、細心診察,才能夠擁有移植手術醫師的資格。臺北慈濟醫院在二○一九年之前都還是由一般外科醫師執行腎臟移植手術,之後才有泌尿科的加入。而泌尿科主管泌尿系統的結構,腎臟亦是泌尿系統的一環,因此為了捐贈者與病人的移植效率,凡是活體捐贈的個案將直接轉介給泌尿科進行評估,通過後,泌尿科便會組成手術團隊,由兩位主治醫師分別進行摘取與移植手術。屍體捐贈個案則輪流交與一般外科或泌尿科。科別間往往會相互協助,一切以不耽誤移植時間為要。二○○七年至二○二三年三月,臺北慈濟醫院一共完成五十八例腎臟移植個案,其中有八例為活體捐贈個案。
腎臟移植的術前檢查與術後保養
游智欽醫師表示無論執行何種腎臟移植手術,術前皆須進行兩項檢查,一是人類白血球抗原(HLA)檢查,視其六個基因是否匹配,而愈多基因能夠匹配則排斥機率愈低;二是血液交叉配對檢查,將雙方血液做融合,避免發生二十四小時內的超急性排斥反應。
摘除手術中則須注意保留腎臟的完整,避免傷害到周圍血管,摘取下的腎臟會給予器官保存液,讓器官暫時先休息,存放於低溫處,減少代謝毒物產生,也希望在十二小時內盡快將腎臟移植到受贈者身上,避免摘取下的腎臟缺血損傷。而腎臟移植特別之處在於一般情況下不需取出病變腎臟,而是進行所謂「異位移植」,將健康的腎臟另植入人體髂骨的髂骨翼內面平滑略凹處,髂內外動靜脈能給予新腎充足的供血條件。
針對術後的觀察,游醫師解釋當以腎臟排水、排毒兩功能為主要指標:「首先會觀察尿量,無論多寡,若能順利排尿,那便能放下一半的心,接著觀察肌酸酐是否下降、電解質有無異常,若皆回穩無異則代表排毒功能有所改善。」
關於術後的回診,游智欽醫師說明:「受贈者須一輩子服用免疫抑制劑,即類固醇與兩種抗排斥藥物。前期一到兩週就得回診檢查,後續三個月一次即可。」游醫師也提醒受贈者,藥物服用的順從性會直接影響移植腎臟的排斥與否,故一定要定時服藥,生活作息要規律正常,讓得來不易的腎臟能好好運作,讓腎臟的主人健康生活,長長久久。


左圖:臺北慈濟醫院泌尿科游智欽醫師。攝影/盧義泓
右圖:游智欽醫師檢查腎臟移植病人傷口癒合狀況。攝影/范宇宏