文/廖唯晴

台北慈濟醫院胸腔外科洪嘉聰醫師說明畸胎瘤的大小與位置會影響症狀,提醒民眾身體有不適狀況及早就醫檢查。攝影/盧義泓
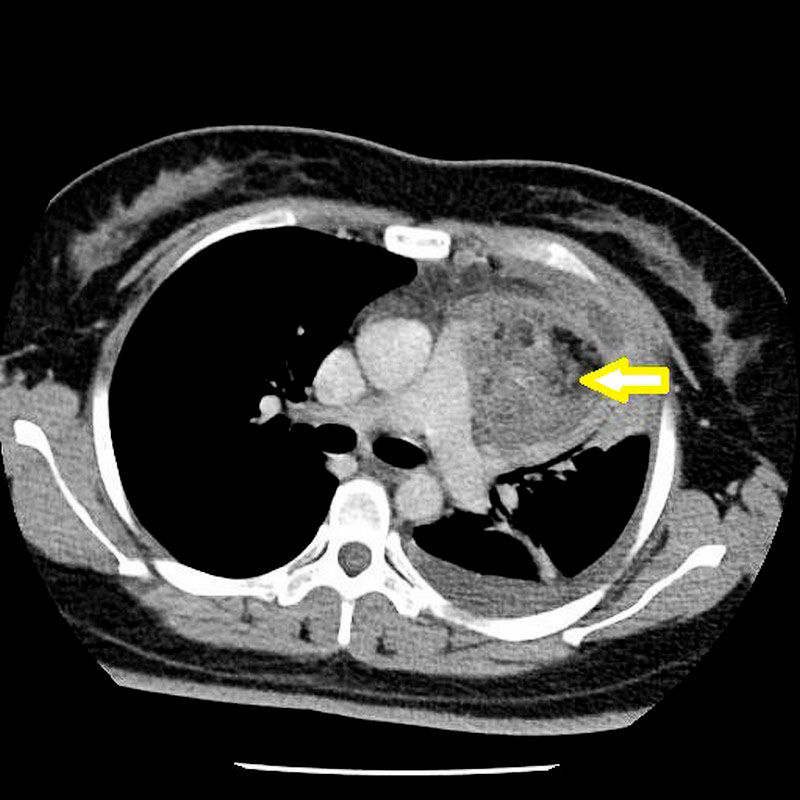
二十八歲的張小姐前陣子因為左手痛,陸續到診所看中醫與復健科,但是三個月過去都沒有顯著改善,狀況還愈來愈嚴重,連舉手都有困難。疼痛部位蔓延到肩背,一日更痛到無法離開床上、全身發冷,到醫學中心檢查發現她的胸腔有一顆相當巨大的腫瘤。張小姐因畏懼手術,在處理急性症狀後先行返家,但數天後再次因胸痛、背痛、咳嗽到無法平躺來到台北慈濟醫院。檢查發現,位於前縱膈腔的腫瘤有七公分大,已經壓迫神經,胸腔外科洪嘉聰醫師以開胸手術將腫瘤取出,經過化驗,確定是有頭髮、牙齒、肌肉、氣管黏膜和腦組織的成熟畸胎瘤。而張小姐因腫瘤造成的肺積水、咳嗽、手痛都在術後逐漸康復,並透過持續的肺部復健找回健康。
胸腔中左右肺臟所在的空間為肋膜腔,而兩個肋膜腔的中間空間就是縱膈腔。縱膈腔有心臟、氣管、食道、脊椎等器官,可分為心臟所在的中縱膈腔,心臟到胸骨間的前縱膈腔和脊椎一帶的後縱膈腔。其中,前縱膈腔有四種好發腫瘤,包括胸腺瘤、甲狀腺腫瘤、畸胎瘤和淋巴癌。而畸胎瘤是胚胎在發育過程中,部分胚層脫離到身體其他部位後,逐漸分化生長的一種腫瘤,男女都有可能發生,但常見發生部位為男性的睪丸和女性的卵巢,發生率約百分之十到二十。
洪嘉聰醫師說明,畸胎瘤是出生就存在於人體的腫瘤,但是否有症狀會因腫瘤大小而異,以張小姐為例,她的畸胎瘤在胸腔逐漸增大,壓迫肺臟且侵犯肋膜造成疼痛,走路需要依賴氧氣,嚴重影響生活。而且這個畸胎瘤的位置臨近主動脈、肺動脈及無名靜脈,若以胸腔鏡微創手術切除有大出血風險,因此醫療團隊選擇正中胸骨切開術,將胸骨鋸開後,將腫瘤與周邊的血管、組織的沾黏剝離,最後將腫瘤完整取下。洪嘉聰醫師提到,畸胎瘤最適切的切除方式是在不弄破的情況下完整切除,以免腫瘤組織或細胞掉落體內未清除乾淨,造成感染或復發。
洪嘉聰醫師提醒民眾,雖然畸胎瘤大部分是良性的,但無特殊藥物可供治療,一般建議民眾一旦經檢查發現就要儘早接受手術治療,並完整切除病灶。要是有身體不適的症狀還是要儘早就醫,以免病症惡化更為嚴重。

女性手痛延續到肩背,經電腦斷層檢查,前縱膈腔有一顆七公分的畸胎瘤。