文/鄭冉曦

台北慈濟醫院神經外科徐賢達主任說明聽神經瘤的症狀,包括單側聽力受損,盡早處理為佳。攝影/盧義泓
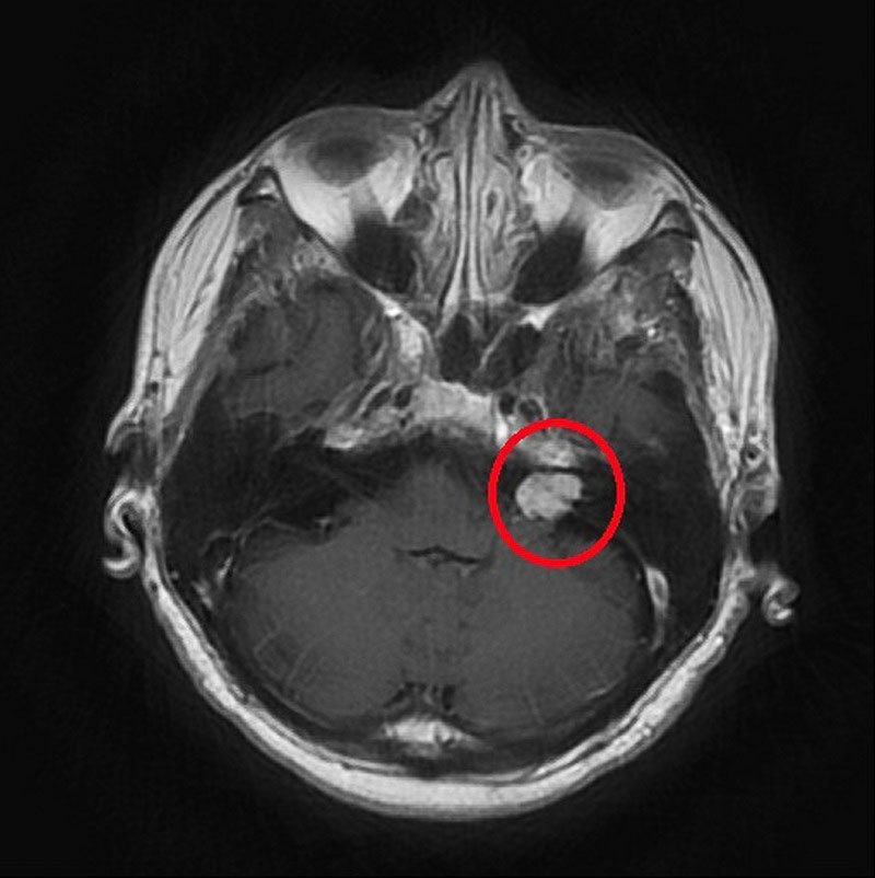
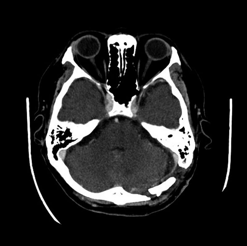
李先生兩年前開始覺得左耳聽力變差,常聽不清楚別人說話的聲音,想說自己快七十了,聽力變差也是自然老化吧,就讓自己接受現況。但一年多下來,症狀加重,甚至時常聽見「嗡嗡嗡」的雜音,加上四肢出現麻刺感,嚴重影響生活品質,李先生才輾轉來到台北慈濟醫院神經外科門診。透過小腦核磁共振檢查,徐賢達主任確認李先生罹患的是「聽神經瘤」,經「耳朵後入路手術」將腫瘤移除。李先生經過手術後,恢復狀況良好,不僅顏面神經沒有受損,耳朵不再聽到吵雜聲,聽力檢查也顯示正常,沒有進一步惡化。
人體總共有十二對腦神經,聽神經是其中一對感覺神經,位於內耳,由掌管聽力的耳蝸與負責平衡的半規管所組成,周圍還有顏面神經,分別從小腦連接到腦幹。「聽神經瘤」指的是負責平衡神經形成的腫瘤,其發生原因尚不明確,但可能與年齡增長、遺傳因素、基因突變、輻射暴露、罕見血管增生疾病VHL症候群有關。徐賢達主任說明:「聽神經瘤屬於常見良性腦瘤,根據不同地區和研究,聽神經瘤的盛行率大約在十萬分之一到二左右,多數發生在單側,且生長速度很慢,容易被誤以為是聽力退化。」但當腫瘤大於兩公分且壓迫到聽神經或顏面神經時,就可能會有聽力損失、耳鳴、耳朵有壓力感等症狀,嚴重可能導致平衡異常、面部麻木。若是沒有及時處置,使腫瘤進一步成長壓迫至腦幹,就會有危及生命的風險。
一般而言,聽神經瘤的治療策略是抑制腫瘤變大或手術切除腫瘤。抑制腫瘤變大的方法為直線加速刀,是一種利用高劑量的輻射線照射腫瘤的放射線治療,但卻有造成聽神經遲發性聽力喪失的可能。而手術方式可以分為耳朵後入路手術、耳朵上入路手術以及中耳入路手術,術式選擇取決於腫瘤的大小、位置和患者聽力狀況。大部分患者的術式選擇會是後入路手術,以李先生為例,首先醫師會在後顱窩處劃一道七公分開口,在高倍率顯微鏡的輔助下,磨掉內耳道骨骼並深入病灶,同時利用監測器探測腫瘤是否與周邊神經沾黏,最後再將腫瘤移除。過程中需要隨時注意監測,避免傷害周圍重要神經,造成不可逆的傷害。
聽神經瘤初期症狀並不明顯,可能與退化性聽力障礙相似,徐賢達主任提醒,若民眾自覺有聽力下降、雜音干擾等狀況時,建議先尋找專業耳鼻喉科醫師進行檢查,避免延誤疾病初期治療。


左為手術前的核磁共振掃描,顯示紅圈處有一個小於兩公分大的腫瘤;右為術後電腦斷層,確認腫瘤已完整取出。圖/台北慈院提供