文/鄭冉曦

台北慈濟醫院小兒感染科吳秉昇醫師提醒兒童戴口罩、勤洗手是預防黴漿菌肺炎最直接有效的方式。攝影/盧義泓


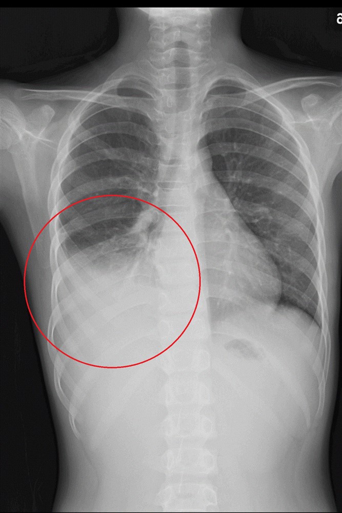
經抗生素治療後高燒未退甚至出現肺炎擴散及肋膜積水的情形(上圖);先後使用口服四環黴素及喹諾酮類藥物進行治療,肺部積水明顯減少(下圖)。圖/台北慈院提供
十一歲的許小弟因高燒四天、咳嗽等不適到家附近的診所看診,雖然還是正常去上學,生活沒有受到影響,但症狀不僅沒有好轉,還出現胸悶,活力及食欲下降等情況。家長緊急帶許小弟來台北慈濟醫院急診,經抽血及胸部X 光檢查,發現許小弟的「C 反應蛋白」(一種發炎指數)偏高且右下肺葉有感染情形,聽診也發現有囉音及喘鳴。
經診斷為社區性肺炎,因黴漿菌急性抗體呈現陽性,懷疑為肺炎黴漿菌感染,考量情況較為嚴重,由小兒科醫師收治住院觀察。但病情萬變,經抗生素治療後許小弟仍然高燒未退甚至出現肺炎擴散及肋膜積水的情形,遂照會小兒感染科吳秉昇醫師,透過黴漿菌抗生素的調整,當晚許小弟即逐漸退燒,一週後平安出院,後續胸部X 光追蹤亦發現右下肺炎及肋膜積水已改善。
肺炎黴漿菌是社區性肺炎常見的致病菌之一,因為常侵犯肺部導致「肺炎黴漿菌肺炎」,所以又簡稱「黴漿菌肺炎」。其傳染方式主要為飛沫傳播,潛伏期通常約二至三週,高峰流行期約落在夏、秋二季,但現今臺灣一年四季皆有感染可能。
後疫情時代,黴漿菌肺炎病例有增加的趨勢,可能與免疫負債有關。吳秉昇醫師說明:「黴漿菌肺炎通常好發於五歲以上的幼童及青少年,初期以長期咳嗽、喉嚨痛、發燒等症狀表現,之後慢慢出現胸痛及呼吸喘。由於症狀與一般肺炎病菌、流感及新冠病毒感染相似,不容易辨別,需要藉由聽診、抗體篩檢或核酸檢測確認,並配合胸部影像學檢查,由於症狀通常輕微,所以又被稱作『會走路的肺炎』。」然而,這也並不表示能夠輕忽感染,吳秉昇醫師進一步指出,若沒有及時診治,除了造成肺部感染及氣喘惡化外,也有可能引發免疫反應,出現肺外症狀如蕁麻疹、多型性紅斑、口腔及眼結膜潰瘍、甚至併發腦炎,不可不慎。
黴漿菌肺炎以抗生素治療為主,過往多半使用紅黴素,但衛福部疾管署《感染控制雜誌》研究曾指出,臺灣兒童感染的黴漿菌已對紅黴素產生六成以上的抗藥性,必要時須改以其他抗生素,如四環黴素或喹諾酮類抗生素治療。以許小弟為例,醫療團隊評估其症狀較為嚴重,且之前曾使用紅黴素治療,可能有紅黴素抗藥的情形,因此先後使用口服四環黴素及喹諾酮類藥物進行治療,發燒才逐漸改善,四天後肺部積水也明顯減少,病況穩定。吳秉昇醫師表示:「醫師開立抗生素藥物會考量其年齡與臨床症狀嚴重度,並參考醫療指引進行治療,因此家長應遵從醫囑,按處方開立的劑量與時間讓孩童服用。」
後疫情時代,民眾配戴口罩的比例有所下降,而黴漿菌肺炎在校園及家庭的傳播力不可小覷,且目前尚無黴漿菌疫苗可接種,因此吳秉昇醫師提醒,戴口罩、勤洗手仍是最直接的預防。家長若發現孩童出現咳嗽、咳痰、呼吸喘、持續高燒不退、食欲活力下降等症狀時,應及時就醫,避免病情惡化。