文/周子寧

台北慈濟醫院胃腸肝膽科鄭煜明醫師提醒四十五歲以上民眾接受B 型及C 型肝炎篩檢。攝影/盧義泓
黃女士八十三歲,因身體不適到台北慈濟醫院就診,就診過程中意外發現肝功能異常,進一步檢查發現一顆約一點五公分的肝臟腫瘤,確診為第零期肝癌,同時也發現黃女士患有B型肝炎,卻因沒有症狀所以不曾進行相關治療。所幸發現及時,由胃腸肝膽科鄭煜明醫師執行電燒治療,術後三天,黃女士順利出院,後續僅需定期追蹤避免復發。
鄭煜明醫師指出,臺灣的肝癌高危險族群主要與B、C 型肝炎相關,B 型肝炎約占五成,C 型肝炎約四成,其餘則與脂肪肝或酒精肝等有關。雖然隨著疫苗及抗病毒藥物普及,肝癌整體發生率逐年下降,但一旦感染過B、C 型肝炎,就有罹癌風險,且患者年齡層有增加趨勢。肝癌初期幾乎沒有症狀,隨病情惡化,若腫瘤壓迫到膽管可能出現黃疸,晚期則多發生轉移,導致肝衰竭、腹水、食欲下降與體重驟減,嚴重影響生活,因此及早發現與治療是重要關鍵。
根據臨床數據顯示,零期肝癌治療後平均存活率超過十年以上,若延誤至第二期則縮短為約五年,第三期降至兩年半,若已轉移,存活時間僅剩半年。
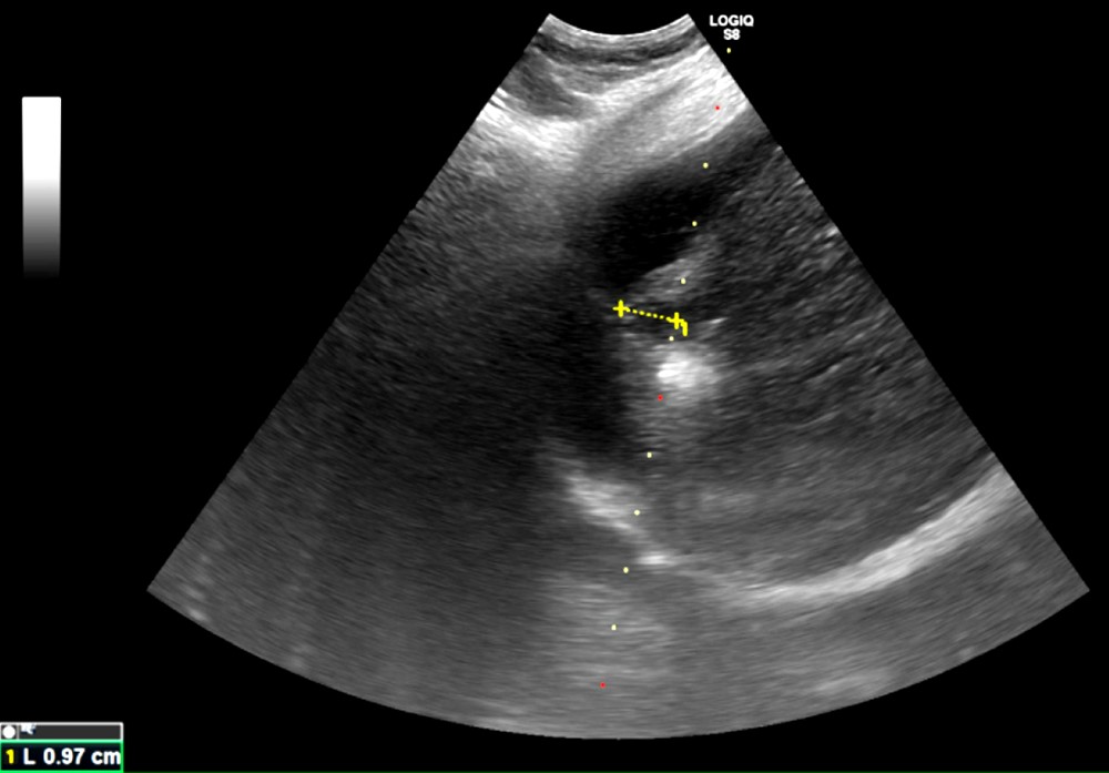
「在第零期使用電燒治療普遍可根治,不需要化療,已經有遠處轉移才會考慮使用免疫療法及標靶治療。」鄭煜明醫師解釋,電燒治療是透過超音波導引定位,使用電極產生電流,造成離子震動產生超過攝氏六十度的熱能氣化腫瘤,比手術更能完整保留健康的肝臟組織。鄭煜明醫師進一步說明,肝癌患者平均五年的復發率高達七成,因此電燒治療對於可能復發、需要多次治療的患者而言更具優勢,且此療法住院時間短,通常三日左右即可出院。適應症方面,電燒治療適用於單顆或三顆以下、每顆腫瘤不超過三公分的病人,且腫瘤位置不能靠近心臟、肺臟等重要器官。治療前需評估凝血功能,若有凝血嚴重異常且無法透過治療矯正者,則不適用電燒治療。
鄭煜明醫師提醒,肝臟疾病通常在初期難以發現,容易錯過治療佳機,建議四十五歲以上民眾主動接受終身一次免費B、C 型肝炎篩檢,若是B、C 型肝炎帶原者更需定期追蹤,若有相關症狀才可及早以藥物控制或規律追蹤。
鄭煜明醫師強調,日常生活要注意避免飲酒過量、控制體重、規律運動,避免吃放過久的食物或不明來源的中草藥以免增加肝臟負荷,用均衡飲食取代過度進補觀念,並接種B 型肝炎疫苗,以降低罹癌機率。

圖為超音波導引下的電燒治療,黃色標記處為肝臟腫瘤,周圍白色處為氣化範圍。圖/台北慈院提供