文/鄭冉曦 審定/黃盟仁 台北慈濟醫院骨科主治醫師
十五歲,是人生一個蛻變的節點,少年會在那個盛夏開始揮灑屬於自己的青春。然而,對小辰來說,十五年來的歲月始終被烏雲所遮覆,看不見一縷陽光。
「我也想和他們一樣,在球場上奔跑,但我卻不能⋯⋯」出生就被診斷為腰椎第四、五節脊柱裂的小辰,從懂事以來就知道自己與別人有太多不一樣。長年病苦養成了小辰沉默迴避的性格,從未對治療抱有信心。
脊柱裂對小辰帶來的第一個考驗就是泌尿系統異常,爸爸每個假日都帶著他遠從南部來到台北慈濟醫院泌尿科楊緒棣副院長門診就醫。三歲之後,小辰逐漸出現跛行的症狀,隨著他進入青春期,走路變得更加困難,而且右側足踝明顯無力,因此在復健科經過評估後,轉介到骨科黃盟仁醫師門診。

黃盟仁醫師三十年來致力於脊柱裂病童的骨科治療,為每位病童手術時都帶著祝福的心念。攝影/盧義泓
脊脊可危的成長
人體脊椎依位置可分為頸椎、胸椎、腰椎、薦椎及尾椎,共三十二到三十四塊脊椎骨,一般人多半是三十三塊脊椎骨。脊椎內部自上而下有一條縱行的椎管,內有脊膜保護脊髓,而每節脊椎分出成對的脊神經則負責脊髓與身體之間的訊號傳遞,主要支配人體的感覺、運動和反射。
黃盟仁醫師拿出脊椎模型,用比劃的方式向小辰爸爸說明:「脊柱裂是由於胚胎發育時,神經管閉合不全所造成的先天性疾病,在骨科會依脊髓膨出程度由輕到重可分為隱性脊柱裂、脊髓膜膨出與脊髓脊膜膨出。雖然這是屬於神經損傷的疾病,但卻與肌肉骨骼發育息息相關,所以在孩子成長期會出現關節變形與行走能力下降的情況,並隨著身高增長而日益嚴重。」
脊髓膜膨出
外科手術避免惡化
骨科在脊柱裂的治療多以手術為主,目的是希望能夠保持病人最大的行動潛力,主要治療族群為「脊髓膜膨出」的患者。這是因為隱性脊柱裂的缺損處沒有神經外露的問題,而脊髓脊膜膨出患者則因脊髓液與神經根直接外露造成下肢癱瘓,所以對這兩種類型的脊柱裂而言,骨科手術並非主要治療。而需要手術的脊髓膜膨出患者,病灶外觀通常宛如圓形囊狀物,外由脊髓膜包覆,內含脊髓液但沒有神經根膨出,經過神經外科手術後,狀況會穩定下來,但隨著孩子長大,神經會牽扯到脊髓,接著就會出現相關症狀。
人類剛出生時,脊髓與脊柱的長度等長,但隨著孩童的生長發育,脊髓增長的速度會比脊柱來得慢。但脊髓膜膨出的病童在三到五歲的快速成長期與十至十六歲青春期時,脊髓的長度會遠遠落後脊柱,脊髓被牽扯得愈來愈緊,進而造成不可逆的傷害。
不同的脊髓神經病灶,會產生不同肌肉骨骼的功能受損,在脊椎高位發生,造成的影響更麻煩。若是發生在胸椎處,病童容易發生脊柱後側彎、兩側髖關節脫位、彎曲和外翻的變形;發生在高位腰椎,會有脊椎側彎、髖關節脫位及踝外翻的問題;病灶在低位腰椎,則容易發生足部鉤狀外翻或內翻足;在薦椎處的話就會有高弓足合併足跟內翻的情形。黃盟仁醫師表示,一般而言按其嚴重程度分別會以肌腱轉移手術、截骨矯正手術與關節融合手術進行治療。
陪你慢步看世界
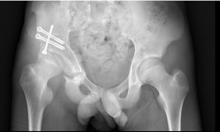
經過X 光與電腦斷層檢查,黃盟仁醫師發現十五歲的小辰不僅有長短腳的情形,他的右側髖關節也出現半脫位的症狀。
髖關節位於骨盆與大腿骨之間,由骨盆上的髖臼與大腿骨上方圓球形的股骨頭組合而成,是人體最大的關節,也是人類站立、步行最重要的關節。兩者結合的周圍有關節囊、韌帶和肌肉包圍,髖關節脫位就是股骨頭脫離了髖骨的凹臼,骨骼之間相互摩擦後,髖關節功能會損壞,將影響正常站立與行走。雖然小辰目前並沒有出現疼痛的情形,但為了避免日後髖關節嚴重磨損,出現退化性關節炎,黃盟仁醫師建議進行「髖關節三位截骨矯正手術」。但此刻卻面臨極大的挑戰——小辰的迴避與爸爸的擔憂。
「孩子正要高中開學,而且我也需要籌集醫療費用⋯⋯」小辰爸爸略顯無力地與黃盟仁醫師討論。
單親家庭的經濟重擔與孩子的消極心情讓小辰爸爸充滿徬徨與無助,所以黃盟仁醫師在幾次門診中花了一些時間耐心地與父子兩人商量眼下最適當的決策。
或許是黃盟仁醫師的堅定打動了小辰,他決定先按照醫師建議,以特製鞋墊減少雙腳長度差異,緩解髖關節的壓力,等到學校放寒假時再接受手術。
半年過去,父子倆再次來到門診。「髖關節三位截骨矯正手術的意思是我們會將髖骨的前側、後側與上側切割截斷,再將髖骨旋轉矯正至正確位置並用骨釘與石膏固定,這樣就能夠使髖關節活動時的壓力減少,日後走路也可以輕鬆一點。」在手術前一天,黃盟仁醫師仔細解釋整個手術計畫。
小辰經過手術五個月後,截斷矯正的骨頭已經完全癒合,走路的樣態恢復得很好,性格也變得開朗,他笑著向黃盟仁醫師說:「或許我永遠沒辦法奔跑,但我可以一步一步慢慢走,帶著爸爸去看遍整個世界!」
聽到小辰這樣說,淚水在爸爸的眼眶打轉。父子倆與黃盟仁醫師約定,在小辰學業及生活穩定之後,再接受長短腳以及足踝無力的治療,一定會完成父子「慢步看世界」的心願!
次專科為小兒骨科的黃盟仁醫師三十年來致力脊柱裂病童的骨科治療,回憶過往接手治療每一位病童時的心境,他說:「緩解他們的病苦是我最重要的使命,『能夠走路』是我想帶給他們的祝福。脊柱裂對肌肉骨骼系統的影響甚深,在我們看來簡單的一小步,對那些孩子來說卻是萬分不易。」病童的笑顏與家屬的感恩,是黃醫師行醫道路上最珍貴的收穫,他期許自己腳步不停,作脊柱裂病童最堅強的後盾。

台北慈濟醫院骨科黃盟仁醫師(左)為脊柱裂患者提出適切的治療及手術建議,重點是要讓他們能像正常人一樣好好走路。攝影/馬順德

X 光檢查發現小辰右側股骨頭脫離了髖骨的凹臼,形成髖關節半脫位。圖/黃盟仁醫師提供

經由「髖關節三位截骨矯正手術」,將髖骨旋轉矯正至正確位置。圖/黃盟仁醫師提供