文/廖唯晴 審定/邱佳儀 台北慈濟醫院復健科主治醫師
原本全家開開心心等著迎接新生兒的到來,卻迎來了意想不到的變故。軒軒一出生的「不尋常」,宣告了接下來一系列的治療,爸媽的不放棄,讓軒軒一路化險為夷的成長,現在的他五歲了。
軒軒的脊柱裂是「脊髓脊膜膨出」,他在動作、語言及認知上有發展遲緩的現象,一直在台北慈濟醫院復健科接受早療課程。最近需要重新申請身心障礙手冊,爸爸帶著軒軒來到「脊椎病變整合門診」追蹤評估。
「邱醫師,軒軒漸漸長大了,但腳的外觀跟其他小朋友長得不太一樣。」發展評估結束之後,爸爸指著兒子的腳詢問邱佳儀醫師。
邱醫師一邊評估,一邊請軒軒站起來走一小段路,審視他的走路步態。接著,邱醫師告訴爸爸:「因為病灶的部位影響到足部,會有足弓塌陷及腳趾像爪子般彎曲的現象,我們等等會重新替軒軒製作新的鞋墊,才不會影響腳的變形與行走的步態。」

台北慈濟醫院復健科邱佳儀醫師說遇到的脊柱裂病人都很樂觀,也歸功於醫療的早期衛教與介入,更提醒復健計畫要隨著年齡增加而調整。攝影/盧義泓
「撐」起脊兒的身體
復健科是脊柱裂病童在成長過程中必不可少的重要科別。在台北慈濟醫院,患者通常都是在泌尿科追蹤時,醫師發現步態有異常後轉介給復健科。
邱佳儀醫師說,軒軒從出生開始腳的肌肉就沒有力氣,會因為肌力不平衡而導致關節變形,再加上感覺功能的缺損,皮膚容易磨損、長繭,因此會讓他穿上特殊鞋墊,防止足部肌肉關節的變形。
對於脊柱裂病童,醫療團隊會在孩子一出生時即給予家長完整的衛教,教導擺位、關節的活動、拉筋等訓練,避免關節變形,同時促進一般感覺及動作的發展。如果遇到嚴重的個案,如:病灶在胸椎而導致下半身癱瘓,則會選擇穿戴軀幹支架及下肢支架,避免發生脊椎後彎或側彎、髖關節脫臼、或下肢肌肉攣縮的情形。


脊柱裂孩子如果伴隨認知障礙或發展遲緩,盡早開始早期療育課程會有很大的幫助。攝影/盧義泓
隨著成長 調整復健計畫
邱佳儀醫師說明:「我們都鼓勵病人走入社區,不要因病受限,所以會使用適合的支架及輔具,目的是希望他們的身體有得支撐,學習走路。但隨著年紀增加,身高體重的增加,行動能力往往會衰退。因此,病人長大後都會建議改成代步輪椅,以方便外出社交。」
原則上,脊柱裂患者的復健計畫會隨著年紀增長而調整,並依據脊椎受損的位置,提供不一樣的支架和輔具,同時也要不斷訓練體能和上肢的力量,才能「撐」得住身體。
自從開設「脊椎病變整合門診」之後,許多原本在他院追蹤的患者因為泌尿問題而來到台北慈濟醫院,進而轉介到復健科邱佳儀醫師的門診。邱醫師說:「病人不會只有骨骼變形、肌肉無力萎縮等問題,還會合併感覺功能障礙。因為沒有感覺,所以不痛,他們往往不會發現自己的腳已經長繭、破皮、或甚至褥瘡了。」這是病人需要回診的原因之一,一來由醫護人員檢查有無傷口,二來可以在孩子成長的階段定期評估丈量鞋墊、支架尺寸,予以更換,也可視需求調整運動指導。
脊柱裂病人在發展過程中往往會有發展遲緩的問題。部分小孩出生若合併水腦症,會有智能低下或學習障礙的現象。不同年齡層建議定期在門診追蹤評估,才能給予適當的治療,改善學習狀況,跟上同儕的發展。


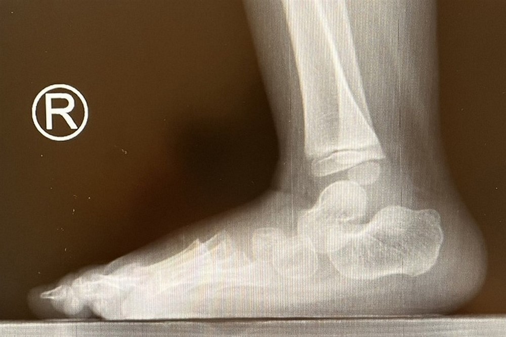
軒軒的腳自出生就無力,足弓塌陷,腳趾呈現爪狀趾,必須製作適合的鞋墊來改善。圖/台北慈濟醫院
樂觀面對 與病共存
脊柱裂病患除了以上提到的問題,有部分患者也容易合併憂鬱症。因此大多數民眾會覺得脊柱裂是一個讓病人身心俱疲,造成家庭壓力的疾病。但邱佳儀醫師說:「我遇到的個案、家屬相對都很樂觀,不覺得脊柱裂是一個困擾。學校老師總將他們的教室安排在離廁所較近的位置,給孩子很多方便,即便有些動作孩子實在做不出來,他們也會笑笑地說『啊!我沒力了!』並不會沉浸在做不到的沮喪裡,所以也沒有不敢和其他孩子一起相處的情形。」
邱佳儀醫師對於經手的病人沒有因病發展出憂鬱症而感到開心,更歸功於早期衛教與介入的成功。近來醫學日益進步,大家愈來愈重視脊柱裂的早期防治,所以不但病人較過往減少許多,經過充分完善的衛教,脊柱裂病人得以正常生活,自然就不會覺得自己跟別人不一樣了。


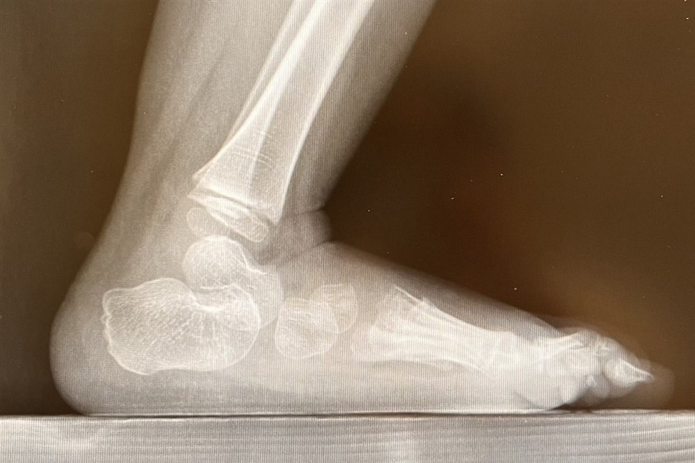
部分脊柱裂孩子的足弓特別高及內翻,是由脛骨後肌和腓骨肌之間的肌肉不平衡以及內在肌無力引起的。圖/台北慈濟醫院