文、攝影/呂榮浩

台中慈濟醫院趙子鎔醫師提醒大眾術前評估與精準手術規畫才是成功關鍵。
膝蓋退化性關節炎,更換人工膝關節,或許無法一勞永逸。統計資料顯示,人工膝關節置換手術後,有一至兩成病人對結果不甚滿意。台中慈濟醫院關節中心趙子鎔醫師以臨床經驗分享他如何為人工膝關節置換失敗的病人處理後續的矯正,也提醒一般民眾,術前評估與精準的手術規畫,是關節置換手術成功的關鍵。
七十多歲的林先生因退化性關節炎造成走路疼痛,到醫院接受人工膝關節置換手術,但是手術後六個月了,膝蓋還是腫脹,而且走路會歪斜,上下樓梯很困難,甚至膝蓋積水的情形讓他必須每星期到醫院回診抽去積水,林先生非常失望,直言:「換關節比沒換更糟糕!」
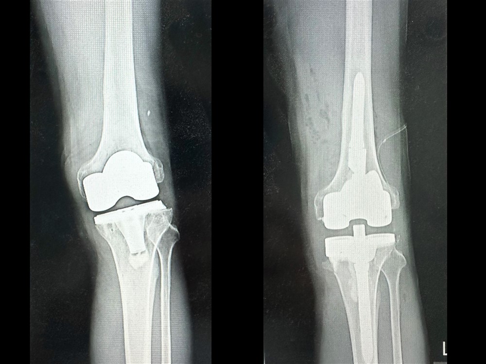
林先生經由親友介紹轉到台中慈濟醫院關節中心,趙子鎔醫師的門診。經X光與電腦斷層掃描結果顯示,林先生原本置換的人工關節角度出現偏差,導致膝關節軸向錯位、受力不均。趙醫師說明,人工關節應與人體重心軸線垂直,但病人術後角度卻反向歪了約十度,造成走路一踩就歪,膝蓋反覆發炎積水,當然會持續疼痛。
趙子鎔醫師與林先生反覆分析溝通後,進行「人工關節翻修再置換」手術,透過電腦斷層影像規畫,重新調整關節角度與力學軸線。術後第二天,林先生便能下床行走,一個月後腫脹消退,不再反覆積水,已經能獨自行動,甚至可以搭公車回診。他開心表示:「不再腫、不再痛,走路終於又有力量,非常感謝趙醫師。」
趙子鎔醫師指出,人工膝關節手術成功率並非百分之一百,排除組織感染、沾黏等因素,約有百分之一到五的病人,可能因角度偏差或骨質問題導致置換失敗,需再次手術。他提醒,人工關節置換並非愈快開刀愈好,術前醫師的評估與精準手術過程,才是成功關鍵。
趙醫師進一步說明,現代膝關節手術可藉電腦導航輔助,如機械手臂導航系統,在術前模擬手術角度與軟組織張力,協助醫師術中精準置換關節。
趙子鎔醫師強調, 台中慈濟醫院關節中心推動「膝關節健康促進方案(KHPO)」,理念與技術並進,希望病人不輕易開刀;若確實需要開刀,就應縝密規畫,精準執行,避免病人再次承受疼痛之苦。

林先生感謝趙子鎔醫師為他翻修人工膝關節。

(左)人工膝關節的角度偏差,走路一踩就歪;(右)經過趙醫師翻修再置換手術之後,人工關節與人體重心軸線垂直。