文/鄭冉曦

台北慈濟醫院泌尿科許竣凱醫師說明泌尿上皮癌症狀並不明顯,高風險族群應定期接受健康檢查。攝影/盧義泓
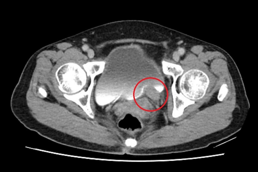
剛取得敬老卡沒幾年的林女士,身體一向硬朗,近期卻發現自己上廁所時尿尿顏色異常,她原本以為只是小問題,至台北慈濟醫院檢查後,竟發現左側輸尿管末端長了一顆五公分的腫瘤,並造成腎水腫。泌尿科許竣凱醫師為林女士確診罹患輸尿管泌尿上皮癌,先安排化療縮小腫瘤,再利用達文西手術切除腫瘤並重建輸尿管,成功保留腎臟功能。林女士術後追蹤至今,病情控制良好。
輸尿管是連接腎臟與膀胱的重要管道,負責將腎臟產生的尿液順利輸送到膀胱儲存與排出。根據衛生福利部統計,泌尿上皮癌發生率每十萬人中約有四十到五十例,臨床上,醫師會以尿液檢驗、膀胱鏡、超音波與電腦斷層進行診斷,排除泌尿道感染、輸尿管結石等會伴隨疼痛的血尿後,就要高度懷疑腫瘤的可能。許竣凱醫師指出:「長期吸菸、處於環境汙染及具家族史者都是危險因子,輸尿管泌尿上皮癌症狀並不明顯,常見表現為無痛性血尿,若置之不理,腫瘤可能造成阻塞及腎衰竭、或是逐漸擴散,甚至出現遠端轉移,危及生命。」
泌尿上皮癌的治療方式多元,包括手術治療、化學治療、免疫療法及標靶治療等,醫師會視腫瘤期別、位置及腎功能等病況綜合評估,決定是否需要手術或採取其他治療策略。以手術而言,有腹腔鏡及達文西手術等選擇,雖然腹腔鏡手術具備傷口小、恢復快的優點,但受限於視野與操作難度,因此目前醫界多以視野清晰、操作靈活的達文西手術為主流。
達文西手術在三維立體視野下,能精準切除腫瘤,並同步進行輸尿管與膀胱重建,許竣凱醫師進一步說明:「以林女士為例,其腫瘤位於下段輸尿管,在化療成效良好的情況下,只需切除病灶,再將膀胱提起與輸尿管相接,完成重建。」若經完整切除,病人的五年存活率可達九成,但仍需定期追蹤,以降低復發風險。
許竣凱醫師提醒,由於泌尿上皮癌症狀並不明顯,建議高風險族群應定期接受健康檢查,如出現血尿,應尋求專業醫師診斷,及早發現才能降低腎功能惡化與癌症擴散風險。

電腦斷層顯示,病人左側輸尿管末端約五公分大的腫瘤。圖/台北慈院提供